Some studies indicate the survival rate for a traumatic brain injury (TBI) is less than 50%. If you suffer a TBI due to someone else’s negligence, there’s no telling what will happen. Fortunately, you can work with a West Palm Beach brain injury lawyer to pursue compensation from anyone responsible.
The team at Lytal, Reiter, Smith, Ivey & Fronrath understands the challenges associated with TBI cases. If you want an experienced Florida brain injury attorney at your side, we can help you out. Please contact us today to connect with a lawyer who can review your case and help you file your lawsuit.
What is the life expectancy after TBI?
The life expectancy of TBI patients is less than that of the general population. The Centers for Disease Control and Prevention (CDC) conducted research on those who have a moderate or severe TBI and received inpatient rehabilitation services. Among these individuals, their life expectancy was nine years shorter than that of the general population.
Many factors can dictate how long a person will survive after they suffer a TBI. These factors include:
- The severity of the injury
- Treatments performed and their effectiveness
- The time between when the issue is diagnosed and treated
At Lytal, Reiter, Smith, Ivey & Fronrath, we encourage you to file a lawsuit if you have been involved in a car accident or any other incident that led to a traumatic brain injury. Our brain injury attorney in Florida can help you pursue compensation. To learn more, please reach out to us.
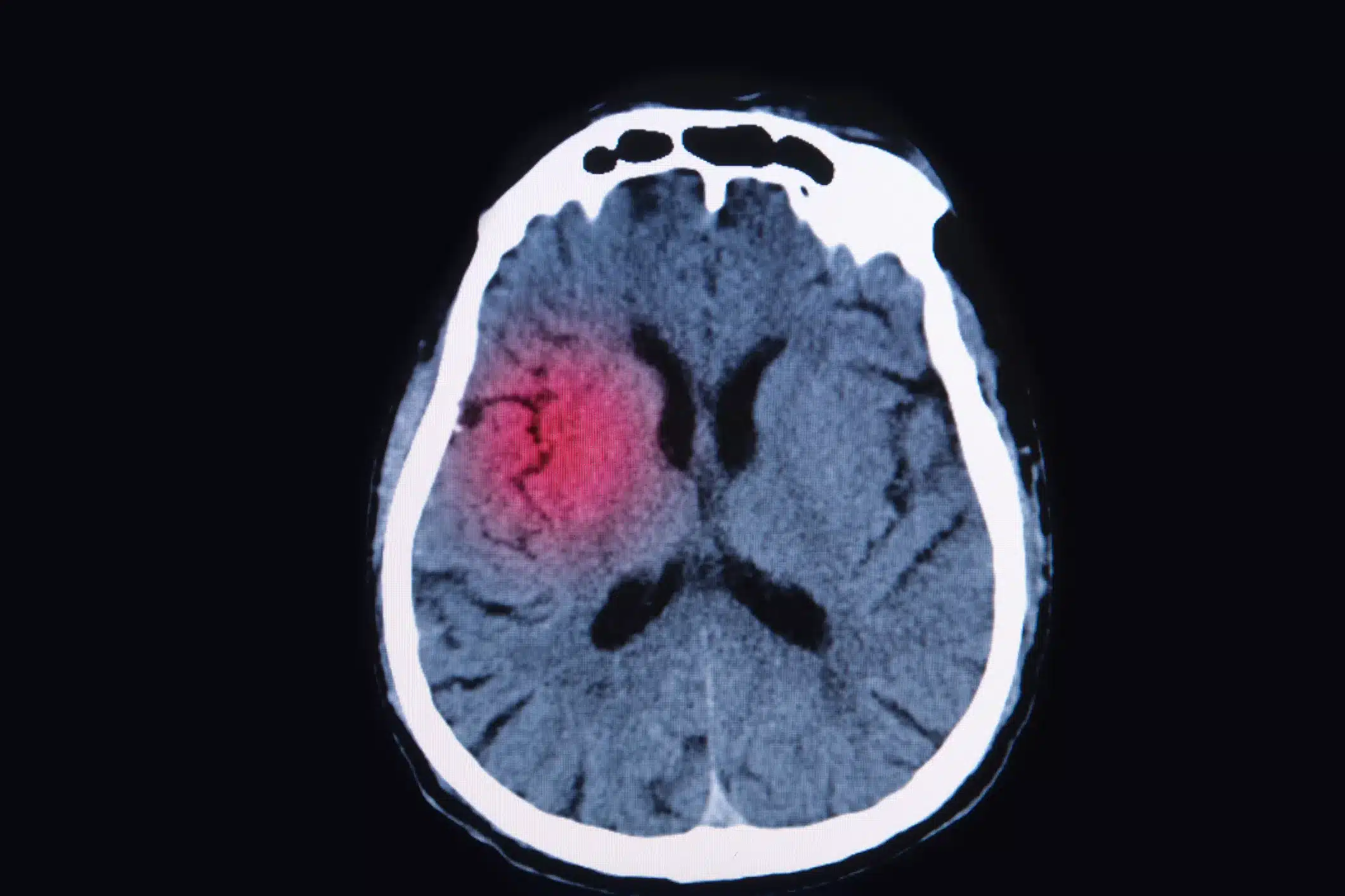
How does a TBI cause death?
A traumatic brain injury can cause symptoms that range from mild to severe. With a mild TBI, a person can experience a headache, fatigue, or other symptoms that disappear on their own within weeks or months of onset. Comparatively, with a severe brain issue, an individual can suffer bruising, bleeding, and other long-lasting harm.
If you are worried that you may be dealing with an injury to the brain, don’t wait to get medical help. Go to a doctor, and they can diagnose and treat any medical issues you are currently experiencing. If your doctor believes you have a TBI, they can provide guidance on how to address it before it causes long-term health problems.
After you connect with a doctor, get in touch with a personal injury lawyer, too. A brain injury lawyer in Florida works diligently for their clientele. The attorney can make sure you submit a claim against who contributed to your symptoms.
How long does it take to recover from a TBI?
With a mild traumatic brain injury, the recovery time takes anywhere from days to months. In some instances, a patient makes a full recovery within a week. Most times, those dealing with a mild problem require about a month to recover from it.
If a person is dealing with a severe TBI, the recovery time can be longer. Severe symptoms can require years of treatment and rehabilitation. Even after a patient receives extensive medical care and support, there’s no guarantee that they will fully recover all of their cognitive and physical abilities.
There can be significant long-term consequences of a traumatic brain injury. A severe TBI can affect a person’s ability to function as they did prior to their injury, to the point where they struggle to work, go to school, and enjoy social activities. Also, symptoms can escalate quickly and make it virtually impossible for people to live life to the fullest extent.
What should I do if I suffer a TBI caused by someone else?
In addition to getting medical help, you can consult with the team at Lytal, Reiter, Smith, Ivey & Fronrath to file a lawsuit against the party responsible for your brain injury. For more information or to request a free consultation, please contact us online or call us at (561) 655-1990.
Skip to content
